Himilo – Arday u dhashay dalka Hindiya ayaa laga saaray ilig jabisay rikoor caalami ah sida ay qortay warbaahinta dalka Hindiya.
Pawan Bhavsar oo 20 jir ah ayaa tagay xarun caafimaad oo ku taalla dagmada Khargone isaga oo ka cabanaya xannuun ilkaha ah.
Dr. Saurabh Srivastava ayaa sameeyay qiimeyn isaga oo go’aansaday in uu ka saaro mid kamid ah ilkahiisa oo dhirirkeedu noqday 1.53 inches.
Dhirirka iligta ayaa jabiyay rikoor hore oo ay diiwaan gelisay hay’adda Guinness World Records sannadkii 2018-ka.
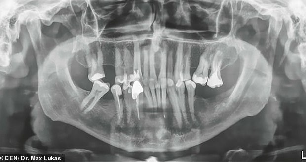
Goor si horreysay, Jarmalka, dhaqtar u gaaroobay ilkaha ayaa bukaan ka saaray iligta ugu dheer caalamka oo dhirirkeedu noqday 1.46 Inches.
Dr Max Lukas oo ka shaqeeya meel ku dhaw Frankfurt ayaa ku guuleystay howlgalka looga saaray dhibbanaha iligta ugu dheer caalamka.
Waxaa la guddoonsiiyay abaal-marin caalami ah oo uu ka helay hay’adda diiwaan gelisa rikoorada dunida ee Guinness World Record.
