Himilo- Dalka Jarmalka, dhaqtar u gaaroobay ilkaha ayaa bukaan ka saaray iligta ugu dheer caalamka sida ay qortay warbaahinta dalkaasi.
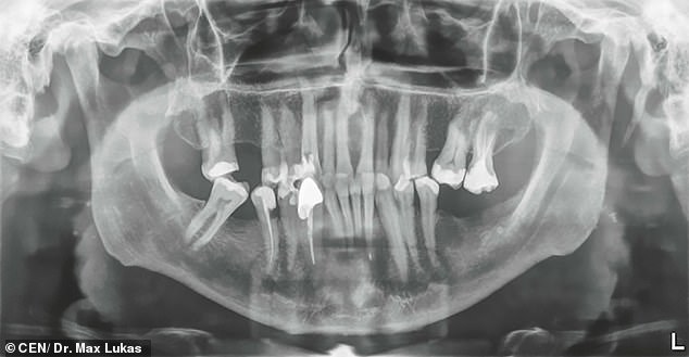
Dhererka iligta ayaa lagu sheegay 1.46 inches oo u dhiganta 3.72cm, waxaa laga saaray bukaan ka cabanayay xannuun darran.
Dr Max Lukas oo ka shaqeeya meel ku dhaw Frankfurt ayaa ku guuleystay howlgalka looga saaray dhibbanaha iligta ugu dheer caalamka.
Waxaa la guddoonsiiyay abaal-marin caalami ah oo uu ka helay hay’adda diiwaan gelisa rikoorada caalamka ee Guinness World Record.
Dhaqtarka ilkaha ayaa daweeyay Mijo Vodopija bishii September. Raajada ayaa muujisay in ninka reer Croatia uu leeyahay ilig dheer oo aan caadi aheyn islamarkaana ku sababeysa xannuun darran.
Wargeyska reer Jarmal ee Frankfurter Neue Zeitung ayaa tilmaamay in dhibbanaha uu caafimaaday markii laga saaray iligta.
Hadda, Dr Max Lukas ayaa kamid ah magacyada lagu qoray liiska hay’adda Guinness World Record.
